Fracture de Jones ou fracture de la base du 5ème métatarsien

QU’EST CE QU’UNE FRACTURE DE JONES ?

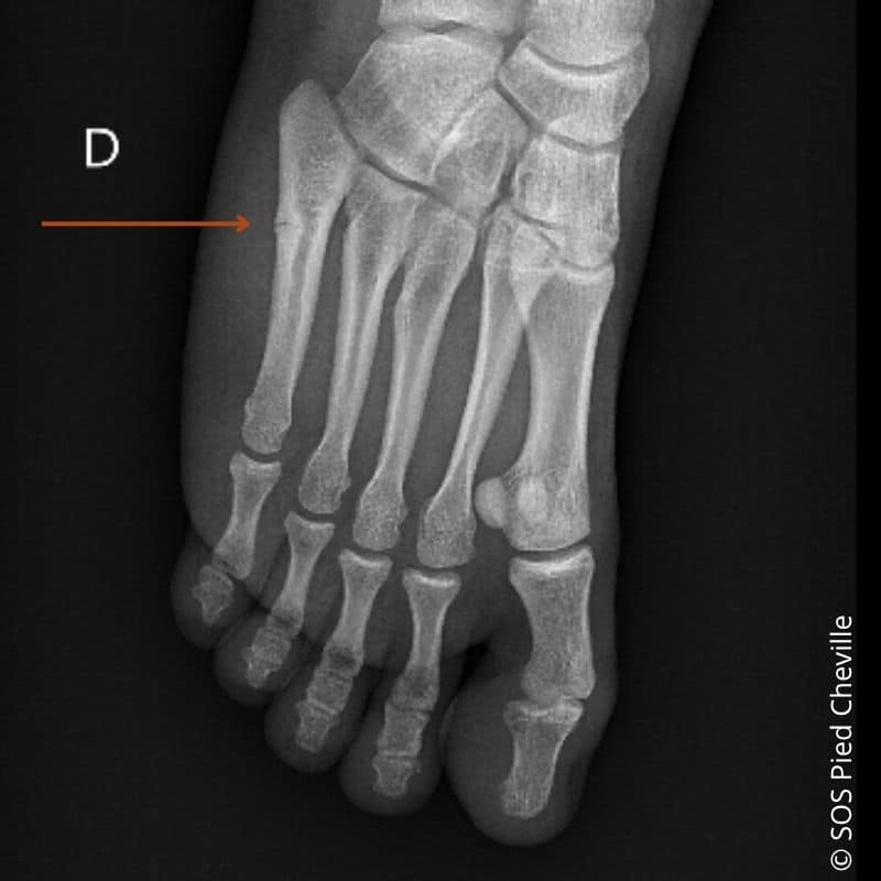
La fracture de Jones correspond à une fracture de la base du 5ème métatarsien, entre l’articulation et la diaphyse du 5ème métatarsien.
Il s’agit d’une zone peu vascularisée et qui subit d’importantes contraintes de poids, d’où parfois des difficultés à consolider.

QUELLES SONT LES CAUSES DE LA FRACTURE DE JONES?

La fracture de Jones est d’origine traumatique:

  • par mécanisme de torsion du pied
  • par excès de contrainte soit par impacts répétés (marathon par exemple) soit sur certaines déformations en pied creux: il s’agit alors d’une fracture de fatigue

QUEL EXAMEN FAUT-IL PASSER ?

Il s’agit d’une urgence, notamment en cas de déplacement visible ou d’atteinte cutanée.
Le spécialiste vous expliquera quel sera le traitement le mieux adapté.

L’examen clinique :

Lors de la consultation, le chirurgien observera votre pied afin de localiser les zones douloureuses.

Il va examiner vos radios. Celles-ci peuvent être normales ou mettre en évidence la fracture.
L’examen clinique et les radios permettent de faire un premier bilan.

Une IRM peut être nécessaire pour confirmer le diagnostic, notamment en cas de fracture de fatigue. Un scanner peut être utile afin de rechercher des signes de consolidation. Ces examens complémentaires seront prescrits par votre chirurgien si nécessaire.

ATTENTION TRÈS IMPORTANT :

Avant de consulter votre chirurgien, il faut passer des radiographies.
Pour que ces radios soient utilisables, il faut les effectuer EN CHARGE+++

Voici le bilan radio que vous devez réaliser avant la consultation

RADIO : PIED FACE PROFIL EN CHARGE et OBLIQUE

  • Pour plus de renseignement, contactez le secrétariat au 05 56 13 10 83

Texte produit en collaboration avec les patients et les soignants.
Votre avis nous intéresse pour l’amender et enrichir toute information qui pourraient manquer à votre parfaite compréhension.